Volumen 33, Nº 1 | 2015

Carcinoma de pulmón en pacientes jóvenes: a propósito de un caso - Lung cancer in young patients: a case report

Diego Debernardi, Sebastián Ávalos, Facundo Álvarez Padilla, Mario EF Bustos


Palabras clave: cáncer de pulmón, pacientes jóvenes con neoplasia pulmonar, adenocarcinoma, CNCP en mujeres.

Keywords: lung cancer, young patients with lung cancer, adenocarcinoma, NSCLC in women.

Compartir:

INTRODUCCIÓN

El cáncer de pulmón es más frecuente en pacientes entre los 50 y 80 años (1); la mayoría de los reportes sobre cáncer de pulmón se refieren a pacientes menores de 40 o 50 años (2). El adenocarcinoma es el tipo más frecuente en mujeres jóvenes (1,3,4). La sintomatología más frecuente de presentación es la tos y el dolor torácico por invasión mediastinal, pleural y de la pared torácica (1).

Los pacientes jóvenes se presentan con estadíos avanzados y tienen peor pronóstico (1,5,6), el hábito tabáquico se encuentra en el 40 a 50 % de los pacientes jóvenes con cáncer de pulmón y están involucrados factores genéticos en el comienzo temprano de la enfermedad (1,8).

Objetivo: presentar un caso de una paciente joven de 20 años diagnosticada con cáncer de pulmón en estadío avanzado y revisión bibliográfica.

PRESENTACIÓN DEL CASO

Mujer de 20 años de edad que comienza cuatro meses antes al diagnóstico con dolor torácico dorsal interescapular y tos con expectoración persistente de 15 días de duración, mucopurulenta. La paciente presentaba antecedente heredofamiliar cáncer renal, cáncer de mamas y cáncer de colon, su historia de exposición al tabaco era de tres cigarrillos por día durante dos meses.

Se le realizó en la primera consulta una radiografía de tórax, que fue interpretada como normal. Los meses posteriores presentó expectoración sanguinolenta, dolor intenso en región interescapular y paravertebral derecha.

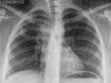
En una nueva radiografía de tórax (Fig.1) se apreció una lesión infiltrativa alveolar en campo superior del pulmón derecho, leve ensanchamiento mediastinal homolateral, sin ocupación pleural, y se interpreta el cuadro como una neumonía aguda de la comunidad por el Servicio de Neumonología, y se indicó tratamiento antibiótico con leve mejoría de su sintomatología. Un mes posterior, consultó nuevamente con dolor cervical y braquial de 3-4 días de evolución, intenso, asociado a un cuadro de lipotimia. En el examen físico presentó contractura cervical, pulso radial +, miembro superior derecho edematizado, caliente, con cianosis y circulación venosa prominente.

Se le solicitó ecodoppler de miembro superior derecho que informó: sistema venoso superficial y profundo, desde la vena subclavia hacia los territorios distales de la mano, sin evidencia de trombosis ni tromboflebitis. En radiografía de tórax (Fig. 2) aparece gran masa en lóbulo superior derecho en íntimo contacto con el mediastino y ensanchamiento del mismo, sin presencia de broncograma aéreo.

Por los hallazgos de la radiografía se solicitó TAC de tórax-abdominal con contraste endovenoso (Fig. 2) presentando atelectasia parcial de segmento anterior de lóbulo superior derecho, voluminosa lesión de márgenes irregulares de 70x50x60mm, infiltrativa que ocupó el mediastino anterior y superior desde la base del cuello hasta el hilio pulmonar correspondiente. Infiltración difusa y amputación de la vena yugular interna, externa y vena subclavia derecha, englobando los vasos del hilio pulmonar derecho, presencia de múltiples adenopatías mediastinales y adenopatías axilares infra-centimétricas bilaterales. A nivel abdominal leve hepatomegalia homogénea que presentó pequeño quiste de 8 mm en segmento VII. Ausencia de adenomegalias
retroperitoneales, mesentéricas o ilíacas. Lesión osteoblástica de 8 mm en cuerpo vertebral de D12. Con estos hallazgos, se le realizaron biopsias por videomediastinoscopia; en las que se realizó incisión supra esternal y disección pre-traqueal identificándose ganglios n° 1 con características neolásicas. Se extraen muestras del mismo y se envió a anatomía patológica por congelación, confirmando la presencia de células neoplasias.

También, se realizó muestra de ganglios del confluente yugulosubclavio izquierdo que presentaban características patológicas.

La anatomía patológica informó: metástasis de adenocarcinoma moderado a poco diferenciado con células en anillo de sello (CK7+, CK20 -, TTF1+, MUC1 +, AE1/AE3 +, S-100 -, PLAP -, CD 30 - ) vinculable a origen primario pulmonar.

Se le solicitó PET para estadificación que informó: masa hiliar pulmonar derecha vinculable a proceso neoproliferativo primario pulmonar. Localizaciones secundarias múltiples en ganglios del cuello, mediastino e hilio hepático, nódulo subcutáneo en mama derecha, hígado, hueso y grasa retroperitoneal.

Se le indicó tratamiento oncológico el cual la paciente no quiso realizar, en primera instancia. Se le realizó un solo ciclo con Gencitabine ya que la paciente falleció 2 meses luego del diagnóstico.

DISCUSIÓN

El cáncer de pulmón es la principal causa de muerte por cáncer. El cáncer con células pequeñas (CPNCP) es responsable del 80% de todos los cánceres de pulmón y la mayoría de los casos son diagnosticados en pacientes entre 50 y 80 años (1). Sólo el 5 a 10 % de los casos se da en pacientes menores de 50 años, y en estos se presenta de forma más agresiva que en los pacientes mayores .De 31.266 pacientes con carcinoma broncogénico primario, diagnosticado desde 1973 a 1992 y registrado en el área metropolitana de Detroit de Vigilancia y Epidemiología (SEER), del total de los pacientes, solo el 9% (2804) fueron pacientes menores a 50 años, el 1.2% (386) fueron menores de 40 años y raramente se diagnostican antes de los 30 años (0.07%). (7)

En la mayoría de los estudios publicados se discute sobre pacientes con cáncer de pulmón menor de 40 o 50 años, pero no hay publicaciones que se refieran a pacientes menores de 30 años. En una revisión de 10 instituciones de Japón se recolectaron 26 pacientes menores de 30 años con cáncer de pulmón y se compararon las características con pacientes mayores de 30 años. La incidencia fue alta en mujeres, no fumadoras y llamó la atención en este estudio el bajo grado de malignidad y los estadios tempranos (2). Esto contrasta con la mayoría de los estudios que reportan el pobre pronóstico en pacientes jóvenes y con estadíos avanzados en el momento del diagnóstico (1,5,6).

El cáncer de pulmón en pacientes menores de 40 años es en la mayoría de los casos un adenocarcinoma y tiene mayor incidencia en mujeres el tipo adenocarcinoma (3,4).

El inicio temprano de la enfermedad ha sido atribuido a fumadores pesados en el 90 % de los pacientes jóvenes de países occidentales, sin embargo, solo el 40 % a 50% de estos pacientes tenían historia de tabaquismo en Turquía, Méjico y Asia, (1).

La mayoría de los pacientes son sintomáticos, la tos es el síntoma más frecuente y el dolor torácico tiene mayor incidencia en los pacientes jóvenes que en pacientes mayores. El dolor se correlaciona con alta incidencia de invasión mediastinal, pleural o de la pared de tórax y con un estadío avanzado de la enfermedad (1). Hemos encontrado un sólo reporte de caso de un paciente de 20 años sin historia de tabaquismo, que presentó tos de varios meses de evolución, dolor de espalda y pérdida de peso de 11,3 kg y hemoptisis. Con esta sintomatología se lo trató como neumonía con antibioticoterapia; no presentó mejoría, todos los test serológicos para infección fueron negativos, en TAC de tórax se puso en evidencia una masa pulmonar, con metástasis
abdominales, óseas y cerebrales. En la biopsia se confirmó adenocarcinoma primario de pulmón, se realizó quimioterapia y radioterapia pulmonar y de las metástasis con mal pronóstico y muerte a los 9 meses del diagnóstico.

En pacientes jóvenes se describen factores genéticos que jugarían un papel importante en el desarrollo de cáncer de pulmón, mutaciones del gen KRAS Y TP53 fueron asociados con mayor riesgo de desarrollar adenocarcinoma pulmonar (8).

CONCLUSIÓN

El CPNCP es una patología poco frecuente en pacientes jóvenes, la interpretación errónea de la sintomatología y de los estudios dada la edad, lleva a una demora en el diagnóstico y tratamiento y los estadíos al momento del diagnóstico son avanzados.

El rol del tabaquismo no está bien claro como causa directa de esta patología en pacientes de esta edad. Los factores genéticos juegan un papel importante en el comienzo temprano de la enfermedad. En nuestro caso, la paciente se presentó con un tumor avanzado y agresivo y con demoras en el diagnóstico.

La respuesta al tratamiento oncológico con gencitabine fue pobre, se logró realizar un solo ciclo, con una sobrevida de 2 meses. A pesar de que se haga el diagnóstico de este tipo de tumores en forma temprana, la evolución de los mismos es desfavorable en pacientes tan jóvenes.

Bibliografía

1- Ayesha S. Bryant and Robert J. Cerfolio Differences in Outcomes Between Younger and Older Patients With Non -Small Cell Lung Cancer, Ann Thorac Surg 2008;85:1735-1739
2- Adenocarcinoma of the lung in young patients: the M. D. Anderson experience Cancer 2000 Apr 15;88(8):1837-41
3- [Michaela Kreuzer,Lothar Kreienbrock, Michael Gerken,- Joachim Heinrich,Irene Brusk,HohlfeldAm J Epidemiol Vol. 147, No. 1 1, 1998]
4- [T. Lienert, M. Serke, N. SchoÈ nfeld, R. Loddenkemper Eur Respir J 2000; 16: 986±990
5- [Antkowaiak JG, Regal AM, Takita H. brochogenic carcinoma in patients under age 40. Ann Thorax surg 1989;47:391.3.
6- Rocha MP, Fraiere AE, Guntupalli KK, Greenberg SD. Lung cáncer in the young. Cancer Detect Prev 1994; 18:349-55]
7- By S. Ramalingam, K. Pawlish, S. Gadgeel, R. Demers
and G.P. Kalemkerian J Clin Oncol 16:651-657. o 1998 by American Societyof Clinical Oncology.
8- O. Khan md, W.P. Tong md, and N.J. Karlin md Metastatic lung adenocarcinoma in a 20-year-old patient. Current Onco logy 2010 — Volume 17, Number 1]

Imágenes

Fig.1

Fig.2 (A y B)